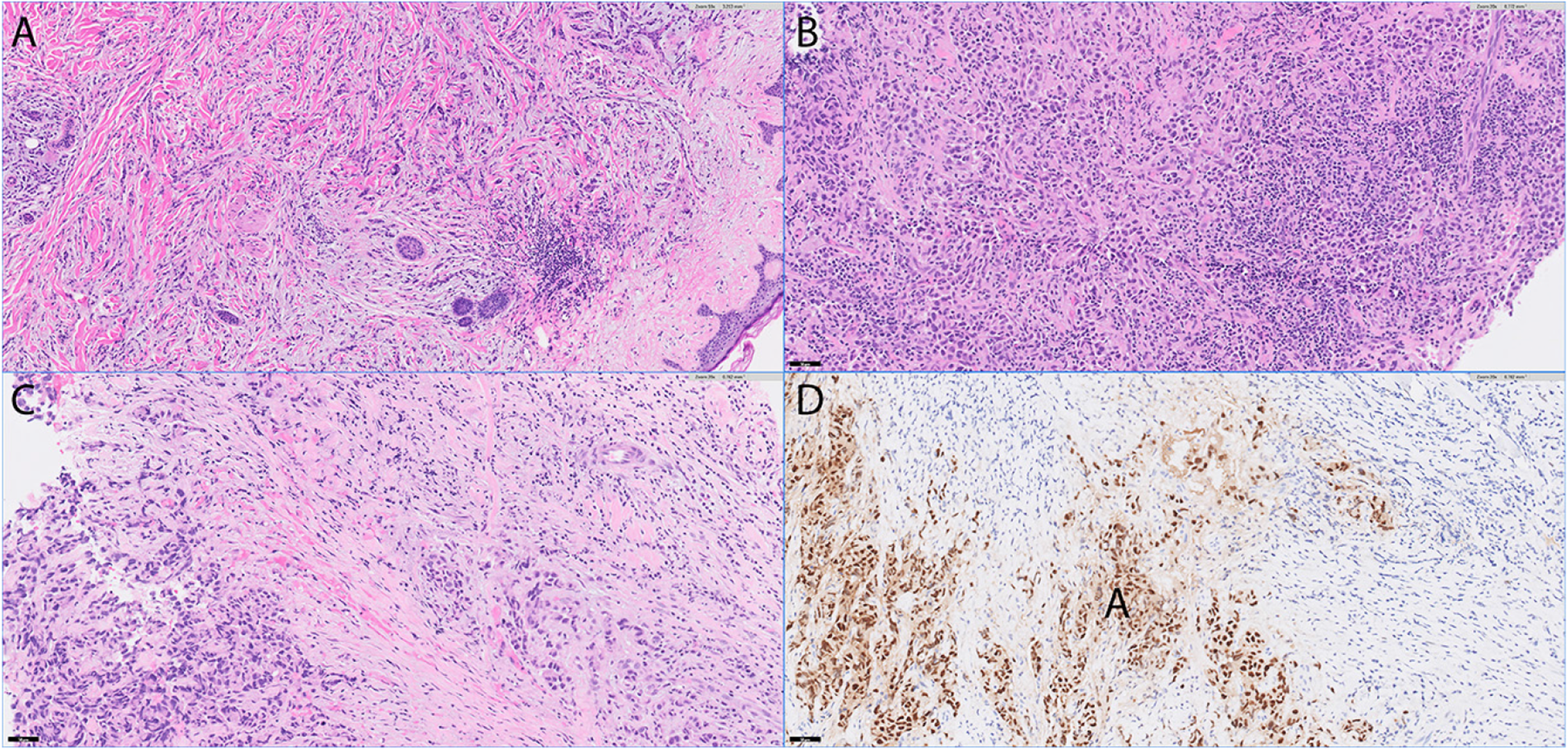
Fig. 2
From: High tumor mutation burden is associated with DNA damage repair gene mutation in breast carcinomas

Three cases with high tumor mutation burden. a-c Representative H&E images from three cases (#1–3) with high tumor mutation burden. d Estrogen receptor IHC staining from case #1. 100x