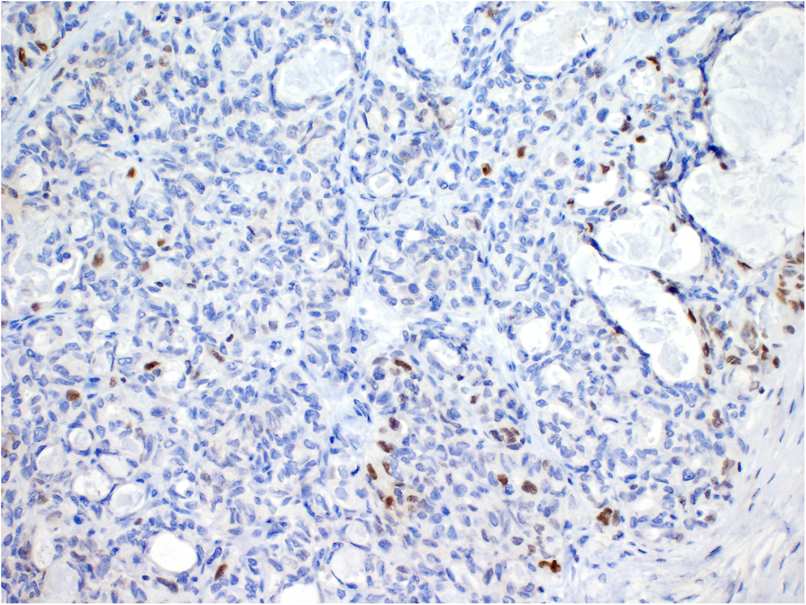
Fig. 5From: Ovarian mesonephric-like adenocarcinoma arising in serous borderline tumor: a case report with complex morphological and molecular analysisMesonephric-like adenocarcinoma showing focal GATA3 staining (200x)Back to article page