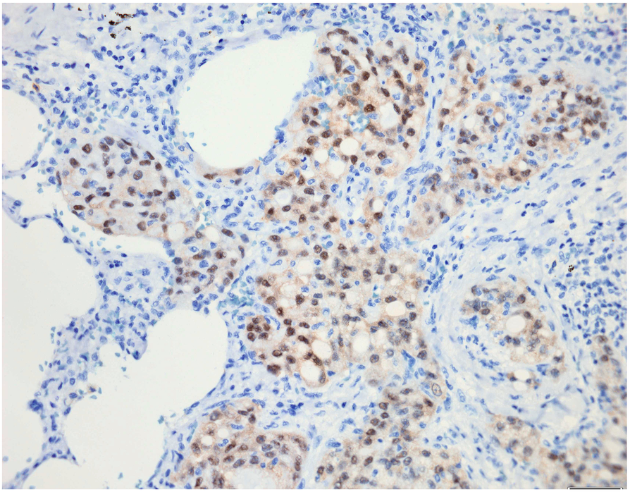
Fig. 2From: Characterization of an ETV6-NTRK3 rearrangement with unusual, but highly significant FISH signal pattern in a secretory carcinoma of the salivary gland: a case reportTumour cells show moderate to strong nuclear staining and weak cytoplasmic staining using an anti-pan Trk antibodyBack to article page